FLASH: Schnelle Bildgebung in der Magnetresonanztomographie (MRT)
Gibt es bei einem Patienten Auffälligkeiten im Hirngewebe? Wurden bei einem Unfallopfer innere Organe verletzt? Liegt ein Bandscheibenvorfall vor? Wie schlägt das Herz? Um derartige Fragen zu beantworten, nutzen Radiologen heutzutage selbstverständlich die MRT. Mit ihr lassen sich in kurzer Zeit präzise Schnittbilder unseres Körpers erzeugen, die insbesondere Weichteile und Organe besonders gut darstellen. Zudem ist das Verfahren – im Gegensatz zu Röntgentechniken wie der Computer-Tomografie – für den Patienten gesundheitlich völlig unbedenklich.
Dass die MRT heute nicht mehr aus dem klinischen Alltag wegzudenken ist, ist ganz wesentlich das Verdienst von Jens Frahm: Nach ihrer Erfindung 1973 war die MRT bis Mitte der 1980er-Jahre für den Einsatz in der Medizin schlicht zu langsam – eine einfache Schichtaufnahme dauerte mehrere Minuten. 1985 entwickelte Frahm mit seinen Mitarbeitern die FLASH-Technik. Mit ihr verkürzte sich die Aufnahmezeit um mindestens den Faktor 100 und verhalf so der MRT zum Durchbruch in der medizinischen Diagnostik. Heute finden weltweit etwa 100 Millionen Untersuchungen im Jahr statt. FLASH ist damit das erfolgreichste Patent der Max-Planck-Gesellschaft.
Die MRT macht sich eine besondere Eigenschaft der im Körper allgegenwärtigen Wasserstoff-Atomkerne zunutze: ihren Drehimpuls, auch Kernspin genannt. Dieser Kernspin macht die Atomkerne zu winzigen Magneten. Befinden sich diese in einem Magnetfeld, richten sie sich entlang der Magnetfeldlinien aus. Ein Magnetresonanz-Tomograf erzeugt ein solches Magnetfeld und zusätzlich kurze Radiofrequenzpulse im UKW-Bereich, die die Kernmomente kurzzeitig aus ihrem Gleichgewicht auslenken. Wenn sie wieder in ihre ursprüngliche Ausrichtung zurückkehren, senden sie Radiowellen aus, die von hochempfindlichen Spulen aufgezeichnet werden. Vielfach wiederholt, lässt sich aus diesen Signalen am Computer ein Bild berechnen.
Ein grundlegendes Hemmnis der MRT waren jedoch die langen Messzeiten, die durch die vielen Einzelmessungen mit unterschiedlicher Ortskodierung und die dazwischen notwendigen Wartezeiten entstanden. Frahms FLASH-Technik nutzt für jede Einzelmessung nur einen Teil des verfügbaren MRT-Signals, um mit diesem physikalischen Trick die Pausen vollständig zu eliminieren und die Messzeit radikal zu verkürzen.
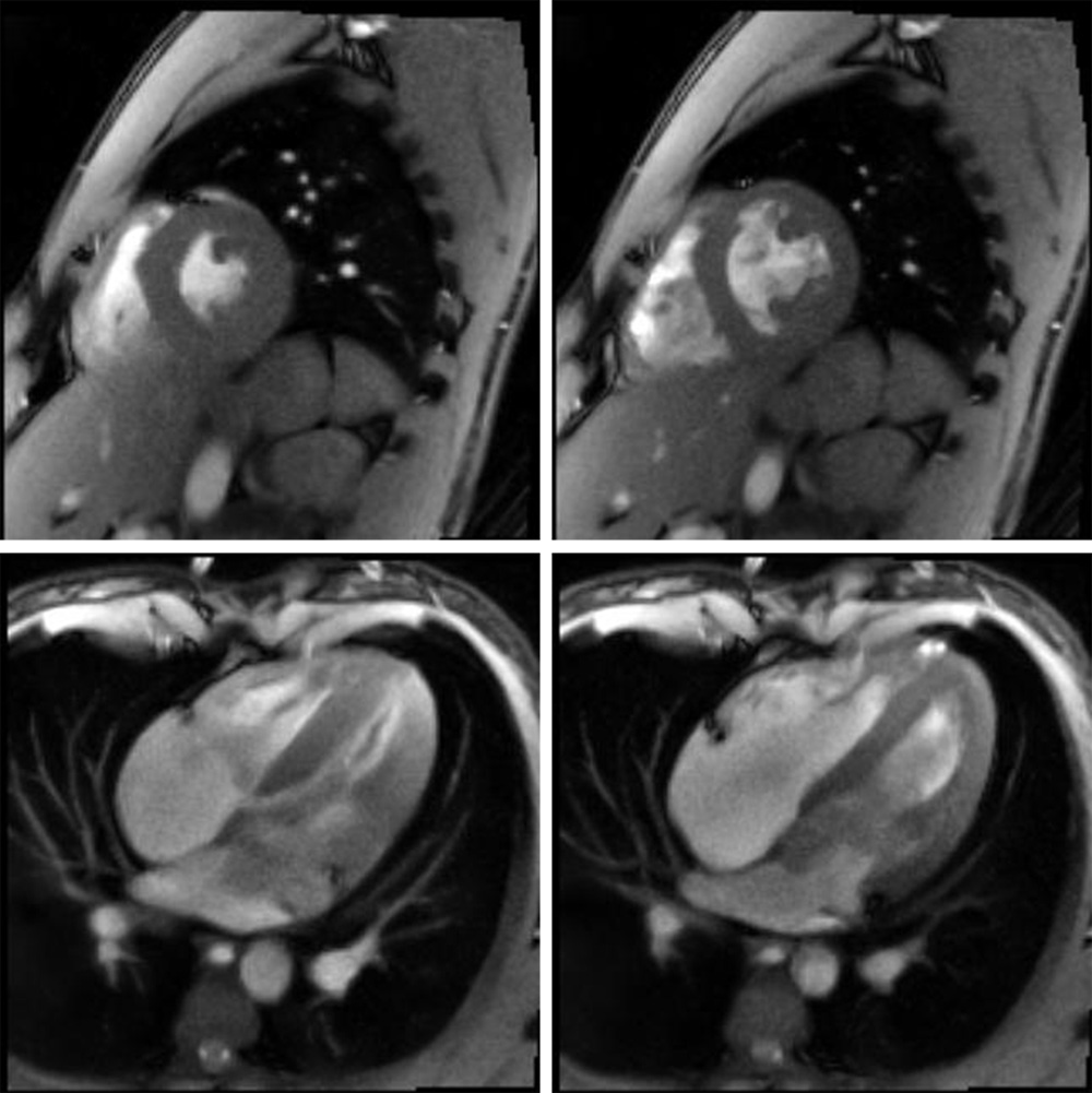
Im Jahr 2010 gelang Frahm und seinem Team ein weiterer Durchbruch, indem sie auch das Problem der hohen Zahl an erforderlichen Einzelmessungen lösten: Mit FLASH 2 stellten sie eine weitere Innovation vor, die ein neues mathematisches Verfahren für die Bildrekonstruktion nutzt und somit nur noch ganz wenigen Einzelmessungen pro Bild auskommt. Das Verfahren beschleunigt die MRT-Aufnahmen noch einmal deutlich. Die Messzeit für ein Bild lässt sich so bis zu einer Hundertstelsekunde reduzieren. Damit ist es nun erstmals möglich, Echtzeit-Filme aus dem Inneren des Körpers aufzunehmen und Gelenkbewegungen, Sprechbewegungen, Schluckvorgänge oder das schlagende Herz „live“ zu beobachten. So lassen sich auch Patienten, die aus gesundheitlichen Gründen den Atem nicht lange anhalten können, im MRT untersuchen. Außerdem könnte die neue Technik in der Zukunft genutzt werden, um minimal-invasive Eingriffe und Behandlungen zu begleiten, die bisher unter Röntgenkontrolle durchgeführt werden.
Klinische Bildgebung als wichtiges diagnostisches Werkzeug ist ohne MRT heute nicht denkbar. Weltweit finden jeden Tag unzählige Aufnahmen statt. Voraussetzung dafür ist die Möglichkeit der schnellen Auswertung. Die Erfindung der FLASH-Technologie durch Jens Frahm und die konsequente Implementierung durch seine Arbeitsgruppe hat somit die Basis für ein diagnostisches Werkzeug geschaffen, ohne das die moderne Medizin nicht denkbar wäre. Die Weiterentwicklung dieser Überlegungen hin zu Echtzeitaufnahmen von bewegten Organen (Bsp. das schlagende Herz) im Rahmen von FLASH 2 stellt einen ähnlichen Innovationsschub wie die FLASH-Technologie dar. Wenn diese Real Time MRT flächendeckend implementiert ist, ergeben sich daraus wiederum ganz neue diagnostische Möglichkeiten. Zusammenfassend hat Jens Frahm durch die konsequente Beschäftigung mit der MRT Fortschritte ermöglichen können, die täglich einer großen Zahl von Patienten zu Gute kommen.
Prof. Dr. Heyo K. Kroemer, Sprecher des Vorstands Forschung und Lehre und Dekan der Universitätsmedizin Göttingen
Das Echtzeit-MRT wird bereits an der Universitätsmedizin Göttingen und mehreren anderen Universitäten für den klinischen Einsatz erprobt.
Videos vom Echtzeit-MRT
Sprechen
Hinweis: Bei Anklicken dieser Schaltfläche wird eine Verbindung zwischen Ihrem Computer und den Servern von Youtube aufgebaut. Wir haben keinen Einfluss auf die in diesem Zusammenhang erhobenen Daten und deren Verwendung. Bitte informieren Sie sich vor Anklicken der Schaltfläche anhand der Datenschutzerklärung von Youtube, welche Daten zu welchem Zweck erhoben werden.
Thorax
Hinweis: Bei Anklicken dieser Schaltfläche wird eine Verbindung zwischen Ihrem Computer und den Servern von Youtube aufgebaut. Wir haben keinen Einfluss auf die in diesem Zusammenhang erhobenen Daten und deren Verwendung. Bitte informieren Sie sich vor Anklicken der Schaltfläche anhand der Datenschutzerklärung von Youtube, welche Daten zu welchem Zweck erhoben werden.
Singen
Hinweis: Bei Anklicken dieser Schaltfläche wird eine Verbindung zwischen Ihrem Computer und den Servern von Youtube aufgebaut. Wir haben keinen Einfluss auf die in diesem Zusammenhang erhobenen Daten und deren Verwendung. Bitte informieren Sie sich vor Anklicken der Schaltfläche anhand der Datenschutzerklärung von Youtube, welche Daten zu welchem Zweck erhoben werden.
-
Menschliches Herz: Links eine systolische Kontraktions- und rechts eine diastolische Expansionsphase; oben ein Kurzachsenblick unten ein 4-Kammer-Blick mit 33 ms Auflösung (© MPI für biophysikalische Chemie) -
Blick in das Innere des Gehirns: Schädigungen Gehirns können mit Hilfe der MRT genau und für den Patienten risikolos diagnostiziert werden (© MPI für biophysikalische Chemie) -
Faserbahnen im menschlichen Gehirn (© MPI für biophysikalische Chemie)
